Chest x - ray interpretation by academyofprofessionals


Chest x - ray interpretation by academyofprofessionals

congress program

Location : Online

Country : France

Language : ENG

Start :

End :

Specialities : Radiodiagnostics And Medical Imaging

Chest x - ray interpretation

All videos ( 94 videos )

Suggest a video

chest x-ray, subsegmental atelectasis

chest x-ray, subsegmental atelectasis
  • Date : 2020-01-01
  • 3    
    0

Chest x-ray, Horizontal Fissure

Chest x-ray, Horizontal Fissure
  • Date : 2020-01-01
  • 2    
    0

Macro Anatomy of Lungs

Macro Anatomy of Lungs
  • Date : 2020-01-01
  • 2    
    0

Chest X-ray, Lateral view

Chest X-ray, Lateral view
  • Date : 2020-01-01
  • 1    
    0

Chest x-ray --Pneumomediastinum

Chest x-ray --Pneumomediastinum
  • Date : 2020-01-01
  • 1    
    0

Chest x-ray , Histoplasmosis

Chest x-ray , Histoplasmosis
  • Date : 2020-01-01
  • 1    
    0

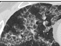
Chest x-ray - Pulmonary Fibrosis on HRCT

Chest x-ray - Pulmonary Fibrosis on HRCT
  • Date : 2020-01-01
  • 1    
    0

Chest x-ray --Silhouette Sign

Chest x-ray --Silhouette Sign
  • Date : 2020-01-01
  • 0    
    0

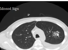
Chest -- CT scan Monod sign

Chest -- CT scan Monod sign
  • Date : 2020-01-01
  • 0    
    0

Chest x-ray, Congenital lobar emphysema

Chest x-ray, Congenital lobar emphysema
  • Date : 2020-01-01
  • 0    
    0

Chest x-ray --Air Crescent Sign

Chest x-ray --Air Crescent Sign
  • Date : 2020-01-01
  • 0    
    0

CT abdomen -Anatomy

CT abdomen -Anatomy
  • Date : 2020-01-01
  • 0    
    0

CT Scan -- Lungs "tree in bud" Sign

CT Scan -- Lungs "tree in bud" Sign
  • Date : 2020-01-01
  • 0    
    0

Chest x-ray - Tuberculosis

Chest x-ray - Tuberculosis
  • Date : 2020-01-01
  • 0    
    0

Chest x-ray --pneumothorax

Chest x-ray --pneumothorax
  • Date : 2020-01-01
  • 0    
    0

Chest x-ray --Normal

Chest x-ray --Normal
  • Date : 2020-01-01
  • 0    
    0

Chest x-ray, left upper lobe collapse

Chest x-ray, left upper lobe collapse
  • Date : 2020-01-01
  • 0    
    0

Chest x-ray, right sided aortic arch

Chest x-ray, right sided aortic arch
  • Date : 2020-01-01
  • 0    
    0

Chest x-ray, Normal, upper mediastinum

Chest x-ray, Normal, upper mediastinum
  • Date : 2020-01-01
  • 0    
    0

Respiratory system

Respiratory system
  • Date : 2020-01-01
  • 0    
    0

Chest x-ray interpretation, Pneumothorax

Chest x-ray interpretation, Pneumothorax
  • Date : 2020-01-01
  • 0    
    0

Chest x-ray interpretation, hemothorax

Chest x-ray interpretation, hemothorax
  • Date : 2020-01-01
  • 0    
    0

Chest x-ray interpretation

Chest x-ray interpretation
  • Date : 2020-01-01
  • 0    
    0

Chest, Pulmonary Embolism

Chest, Pulmonary Embolism
  • Date : 2020-01-01
  • 0    
    0

Chest x-ray --cavitating lesions

Chest x-ray --cavitating lesions
  • Date : 2020-01-01
  • 0    
    0

Chest x ray interpretation --ET tube

Chest x ray interpretation --ET tube
  • Date : 2020-01-01
  • 0    
    0

Pneumoperitoneum - Chest x-ray

Pneumoperitoneum - Chest x-ray
  • Date : 2020-01-01
  • 0    
    0

chest x-ray - pneumopericardium

chest x-ray - pneumopericardium
  • Date : 2020-01-01
  • 0    
    0

Chest x-ray, enlarged left atrium

Chest x-ray, enlarged left atrium
  • Date : 2020-01-01
  • 0    
    0

Chest x-ray -Right lower lobe collapse

Chest x-ray -Right lower lobe collapse
  • Date : 2020-01-01
  • 0    
    0

Rounded atelectasis - CT scan of Chest

Rounded atelectasis - CT scan of Chest
  • Date : 2020-01-01
  • 0    
    0

Chest x-ray , pneumonia

Chest x-ray , pneumonia
  • Date : 2020-01-01
  • 0    
    0

Chest x-ray, Pneumothroax

Chest x-ray, Pneumothroax
  • Date : 2020-01-01
  • 0    
    0

Chest x-ray, Pulmonary edema, lungs

Chest x-ray, Pulmonary edema, lungs
  • Date : 2020-01-01
  • 0    
    0

Chest x-ray, lamellar effusion

Chest x-ray, lamellar effusion
  • Date : 2020-01-01
  • 0    
    0

chest x-ray, bronchiectasis

chest x-ray, bronchiectasis
  • Date : 2020-01-01
  • 0    
    0

CT Scan -Crazy paving pattern

CT Scan -Crazy paving pattern
  • Date : 2020-01-01
  • 0    
    0

Chest x-ray, Azygos Lobe

Chest x-ray, Azygos Lobe
  • Date : 2020-01-01
  • 0    
    0

Chest x-ray interpretation -Lung volume

Chest x-ray interpretation -Lung volume
  • Date : 2020-01-01
  • 0    
    0

Ct scan chest

Ct scan chest
  • Date : 2020-01-01
  • 0    
    0

Chest x-ray, segmental collapse

Chest x-ray, segmental collapse
  • Date : 2020-01-01
  • 0    
    0

Chest x-ray, Kyphosis

Chest x-ray, Kyphosis
  • Date : 2020-01-01
  • 0    
    0

Chest x-ray, Right Paratracheal stripe

Chest x-ray, Right Paratracheal stripe
  • Date : 2020-01-01
  • 0    
    0

Breast Cancer - Chest x-ray - Metastases

Breast Cancer - Chest x-ray - Metastases
  • Date : 2020-01-01
  • 0    
    0

Selected conferences