The Future of X-Ray GE Healthcare
Programme du congrès
Lieu : Online
Pays : Etats-Unis
Langue : ENG
Date de début :
Date de fin :
Spécialités : Radiodiagnostic Et Imagerie Médicale
GE Healthcare X-ray: AMX Mobile X-ray Technology Brings Imaging to the Patient
- Date : 01/01/2020
- 0
0
US Olympic Committee Chooses GE for X-Ray: Featuring Weightlifter Morghan King
- Date : 01/01/2020
- 0
0
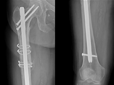
Orthopedic Applications of VolumeRAD* Digital Tomosynthesis: with Dr. Samir Mehta
- Date : 01/01/2020
- 0
0
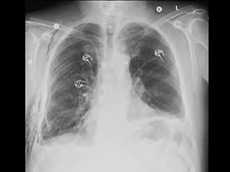
VolumeRAD Digital Tomosynthesis: Breakthrough tech improving lung nodule detection
- Date : 01/01/2020
- 0
0
Affordable digital X-ray helps Ghana outpatient clinic improve efficiency (Spanish)
- Date : 01/01/2020
- 0
0
Affordable digital X-ray helps Ghana outpatient clinic improve efficiency (French)
- Date : 01/01/2020
- 0
0
GE Healthcare X-ray: Introducing Helix Clinical Image Comparator (QuickEnhance)
- Date : 01/01/2020
- 0
0
Affordable digital X-ray helps Ghana outpatient clinic improve efficiency (Turkish)
- Date : 01/01/2020
- 0
0
US Olympic Committee Chooses GE for X-Ray ft. Weightlifter Morghan King (Teaser)
- Date : 01/01/2020
- 0
0
GE Healthcare Xray: Discovery RF 180 Overview Video One System Designed for all
- Date : 01/01/2020
- 0
0
X-ray Quality Application Testimonial Humber River Hospital - Radiology Department
- Date : 01/01/2020
- 0
0
Orthopedic Applications of VolumeRAD* Digital Tomosynthesis: Virtual panel Q&A
- Date : 01/01/2020
- 0
0
Orthopedic Applications of VolumeRAD* Digital Tomosynthesis: with Dr. David Quinn
- Date : 01/01/2020
- 0
0
X-ray: Discovery XR656 Advanced Digital Radiography System - Advanced Applications
- Date : 01/01/2020
- 0
0
Sélection de congrès
111th Scientific Assembly and Annual Meeting of Radiological Society of North America - RSNA 2025
- Date : 30/11/2025
-
10701 0