VASCULAR SURGERY BY Houston Methodist DeBakey Heart & Vascular Center


VASCULAR SURGERY BY Houston Methodist DeBakey Heart & Vascular Center

congress program


Houston Methodist’s Department of Cardiovascular Surgery is internationally recognized for its coronary artery, thoracic aortic and valvular disease treatments. Our clinicians perform more than 1,600 surgeries annually, building on heart surgeon Dr. Michael E. DeBakey’s legacy of innovation. DeBakey was instrumental in forming Houston Methodist’s cardiovascular surgery service, performing the first successful bypass surgery in the 1960s.

All videos ( 118 videos )

Suggest a video

Aortobifemoral Bypass with SMA Bypass

Aortobifemoral Bypass with SMA Bypass
  • Date : 2020-01-01
  • 0    
    0

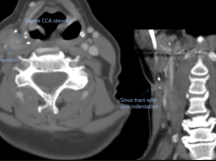
Carotid Body Tumor Excision

Carotid Body Tumor Excision
  • Date : 2020-01-01
  • 0    
    0

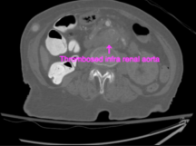
Open Type II Endoleak Repair

Open Type II Endoleak Repair
  • Date : 2020-01-01
  • 0    
    0

Subclavian-Brachial Bypass

Subclavian-Brachial Bypass
  • Date : 2020-01-01
  • 0    
    0

Internal Jugular Vein Aneurysm Resection

Internal Jugular Vein Aneurysm Resection
  • Date : 2020-01-01
  • 0    
    0

Femoral Vein Harvest

Femoral Vein Harvest
  • Date : 2020-01-01
  • 0    
    0

Neo-Aortoiliac Reconstruction

Neo-Aortoiliac Reconstruction
  • Date : 2020-01-01
  • 0    
    0

Endovascular Aortic Septotomy

Endovascular Aortic Septotomy
  • Date : 2020-01-01
  • 0    
    0

Creation of a Leg Arteriovenous Graft

Creation of a Leg Arteriovenous Graft
  • Date : 2020-01-01
  • 0    
    0

Repair of Common Femoral Vein Aneurysm

Repair of Common Femoral Vein Aneurysm
  • Date : 2020-01-01
  • 0    
    0

Superior Vena Cava Stenting

Superior Vena Cava Stenting
  • Date : 2020-01-01
  • 0    
    0

Iliac Branch Device and EVAR

Iliac Branch Device and EVAR
  • Date : 2020-01-01
  • 0    
    0

Below Knee Amputation

Below Knee Amputation
  • Date : 2020-01-01
  • 0    
    0

Advanced Methods of IVC Filter Retrieval

Advanced Methods of IVC Filter Retrieval
  • Date : 2020-01-01
  • 0    
    0

Angioseal CFA Thrombectomy

Angioseal CFA Thrombectomy
  • Date : 2020-01-01
  • 0    
    0

Repair of Popliteal Vein Aneurysm

Repair of Popliteal Vein Aneurysm
  • Date : 2020-01-01
  • 0    
    0

Common Femoral Artery Aneurysm Repair

Common Femoral Artery Aneurysm Repair
  • Date : 2020-01-01
  • 0    
    0

Forearm Radiobasilic Fistula Creation

Forearm Radiobasilic Fistula Creation
  • Date : 2020-01-01
  • 0    
    0

Cephalic Arch Reconstruction

Cephalic Arch Reconstruction
  • Date : 2020-01-01
  • 0    
    0

Creation of Radiocephalic Fistula

Creation of Radiocephalic Fistula
  • Date : 2020-01-01
  • 0    
    0

Open Surgical Repair of SMA Aneurysm

Open Surgical Repair of SMA Aneurysm
  • Date : 2020-01-01
  • 0    
    0

Ovarian Vein Transposition

Ovarian Vein Transposition
  • Date : 2020-01-01
  • 0    
    0

Through the Knee Guillotine Amputation

Through the Knee Guillotine Amputation
  • Date : 2020-01-01
  • 0    
    0

EVAR Explantation

EVAR Explantation
  • Date : 2020-01-01
  • 0    
    0

Thoracofemoral Bypass

Thoracofemoral Bypass
  • Date : 2020-01-01
  • 0    
    0

Open IVC Filter Removal

Open IVC Filter Removal
  • Date : 2020-01-01
  • 0    
    0

Superior Mesenteric Artery Stenting

Superior Mesenteric Artery Stenting
  • Date : 2020-01-01
  • 0    
    0

Portal Vein Thrombolysis

Portal Vein Thrombolysis
  • Date : 2020-01-01
  • 0    
    0

Temporal Artery Biopsy

Temporal Artery Biopsy
  • Date : 2020-01-01
  • 0    
    0

Left Retroperitoneal Hematoma Evacuation

Left Retroperitoneal Hematoma Evacuation
  • Date : 2020-01-01
  • 0    
    0

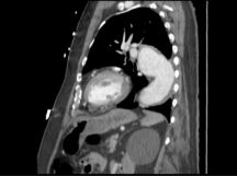
Carotid Subclavian Bypass with TEVAR

Carotid Subclavian Bypass with TEVAR
  • Date : 2020-01-01
  • 0    
    0

Right Claviculectomy

Right Claviculectomy
  • Date : 2020-01-01
  • 0    
    0

Retrograde Left Posterior Tibial Artery

Retrograde Left Posterior Tibial Artery
  • Date : 2020-01-01
  • 0    
    0

Wound Vac Placement

Wound Vac Placement
  • Date : 2020-01-01
  • 0    
    0

Left Cephalic Vein Turndown

Left Cephalic Vein Turndown
  • Date : 2020-01-01
  • 0    
    0

Iliofemoral Occlusion From ProGlide

Iliofemoral Occlusion From ProGlide
  • Date : 2020-01-01
  • 0    
    0

Inferior Mesenteric Artery Embolization

Inferior Mesenteric Artery Embolization
  • Date : 2020-01-01
  • 0    
    0

Tunneled Dialysis Catheter

Tunneled Dialysis Catheter
  • Date : 2020-01-01
  • 0    
    0

Iliac to SMA Bypass Ringed ePTFE

Iliac to SMA Bypass Ringed ePTFE
  • Date : 2020-01-01
  • 0    
    0

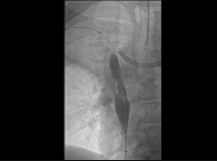
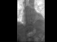
Diagnostic Angiogram

Diagnostic Angiogram
  • Date : 2020-01-01
  • 0    
    0

Obturator Bypass

Obturator Bypass
  • Date : 2020-01-01
  • 0    
    0

Central Vein Balloon Angioplasty

Central Vein Balloon Angioplasty
  • Date : 2020-01-01
  • 0    
    0

Carotid-Carotid Subclavian Bypass

Carotid-Carotid Subclavian Bypass
  • Date : 2020-01-01
  • 0    
    0

SMA Embolectomy

SMA Embolectomy
  • Date : 2020-01-01
  • 0    
    0

Left Innominate Vein Bypass

Left Innominate Vein Bypass
  • Date : 2020-01-01
  • 0    
    0

Above Knee Amputation (AKA)

Above Knee Amputation (AKA)
  • Date : 2020-01-01
  • 0    
    0

Transradial Access

Transradial Access
  • Date : 2020-01-01
  • 0    
    0

Below Knee Guillotine Amputation

Below Knee Guillotine Amputation
  • Date : 2020-01-01
  • 0    
    0

Carotid Endarterectomy - CEA

Carotid Endarterectomy - CEA
  • Date : 2020-01-01
  • 0    
    0

Sartorious Muscle Flap

Sartorious Muscle Flap
  • Date : 2020-01-01
  • 0    
    0

Popliteal Adventitial Cystic Disease

Popliteal Adventitial Cystic Disease
  • Date : 2020-01-01
  • 0    
    0

Popliteal Aneurysm and Fistula

Popliteal Aneurysm and Fistula
  • Date : 2020-01-01
  • 0    
    0

Carotid Endarterectomy (CEA) Part 2

Carotid Endarterectomy (CEA) Part 2
  • Date : 2020-01-01
  • 0    
    0

Carotid Endarterectomy (CEA) Part 1

Carotid Endarterectomy (CEA) Part 1
  • Date : 2020-01-01
  • 0    
    0

Selected conferences